
Layered Zirconia offers outstanding biocompatibility and strength while maximizing aesthetics. The zirconia core prevents black lines and graying at the gum line, resulting in a highly durable and aesthetically pleasing restoration.
Contact Us
Our IPS e.max restorations are ideal for single crowns, three-unit bridges, veneers, inlays, and onlays. Made from lithium disilicate glass-ceramic, they can be pressed or digitally designed using CAD/CAM technology, providing exceptional aesthetics and reliable performance.
Contact Us
Our Esthetic Zirconia is an excellent monolithic option that combines strength and natural aesthetics. With gradient color and translucency, this material offers a strength of 1050 MPa, making it suitable for a wide range of applications, including long span bridges.
Contact Us
Our Full Zirconia crowns and bridges are made from 100% pure zirconia, offering exceptional durability and aesthetics. With a strength of 1200 MPa, these crowns are ideal for comprehensive applications, including posterior crowns and long span bridges.
Contact Us
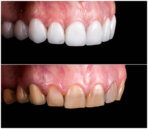
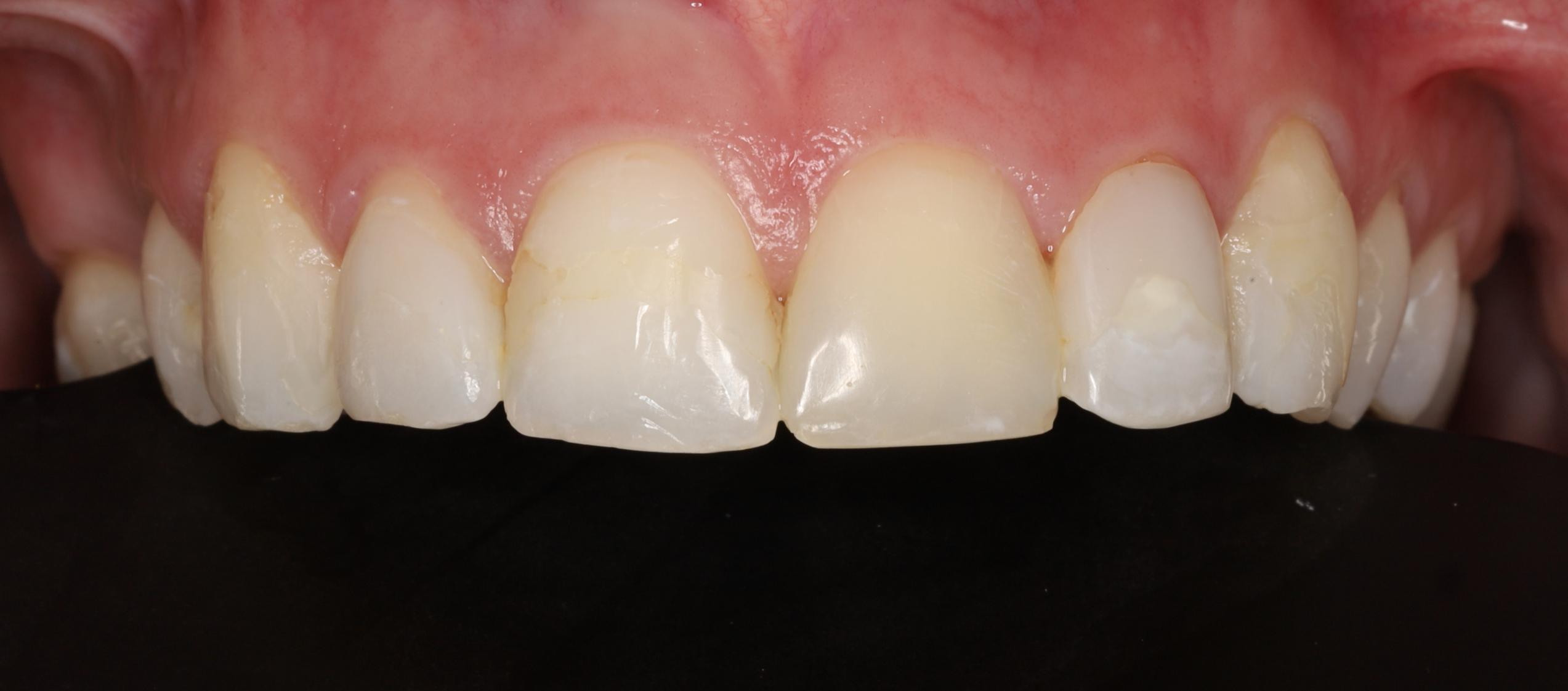
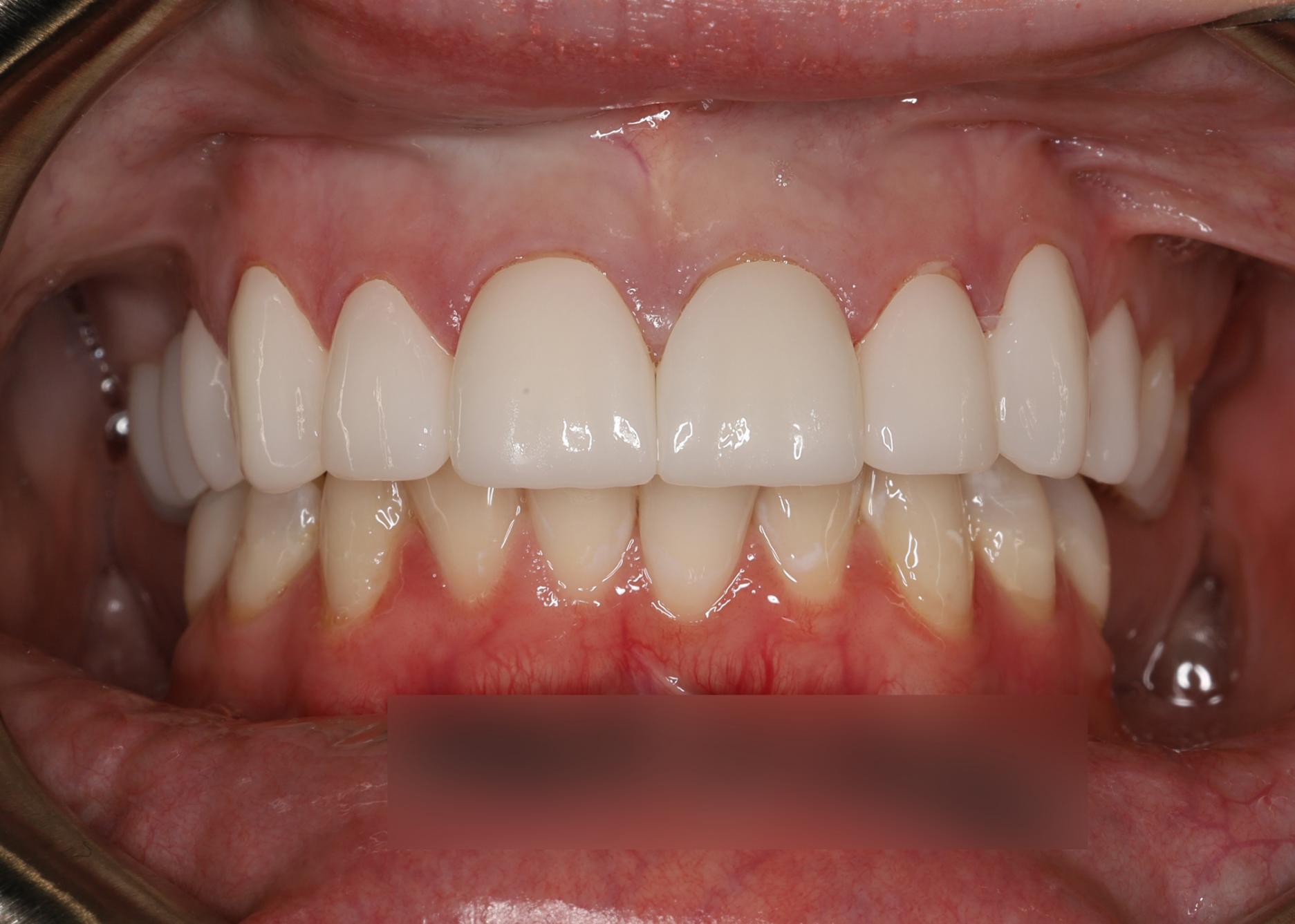
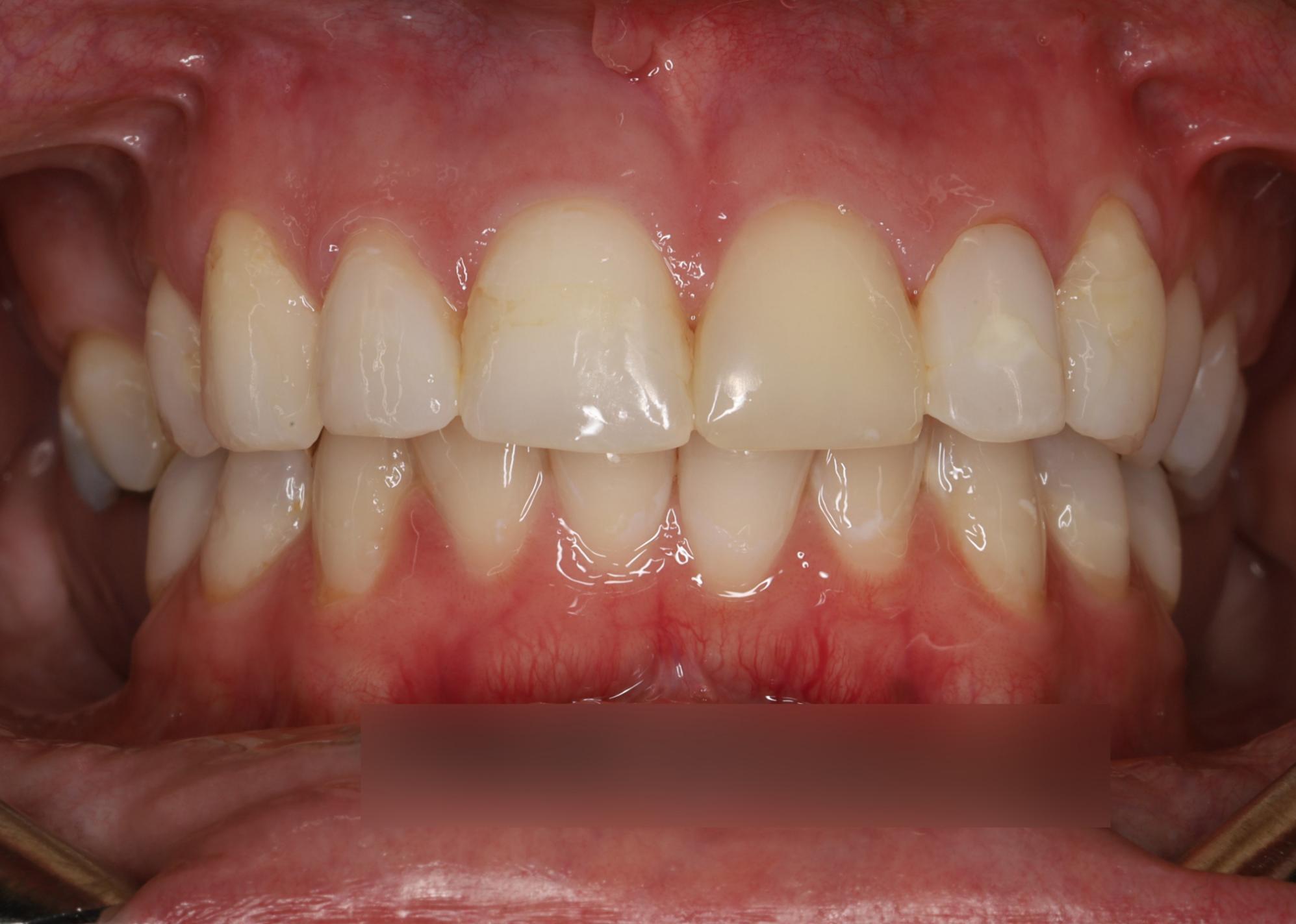
Before
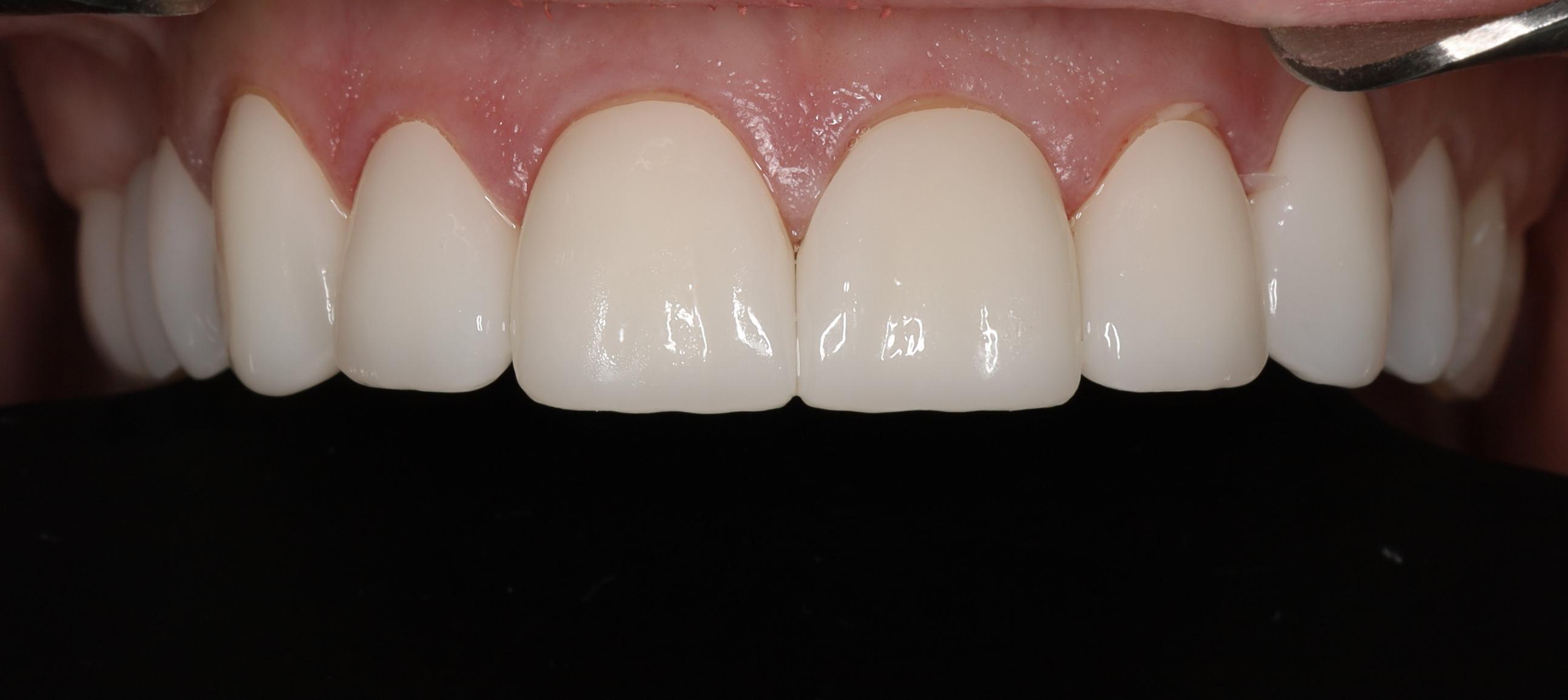
After
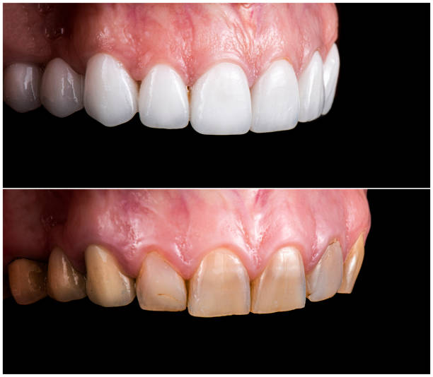
Before
After
If you have any questions or would like to learn more about our services, please reach out to us.
Send an Email
1800 W Broadway Rd. Tempe, AZ 85282 | Suite #3
480-664-6982
info@10xdentallab.com
Monday - Friday: 8am - 5pm